BLOG | ODONTOLOGIA
Acompanhe nossos conteúdos e descubra tudo o que você precisa saber sobre saúde bucal, bem-estar e as novidades do universo da odontologia. Afinal, informação de qualidade também é parte do cuidado com o seu sorriso.
Assuntos que podem te interessar

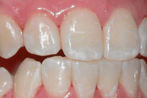
Fluorose Dentária: Excesso de Flúor
A fluorose dentária é uma condição que afeta os dentes, resultante da ingestão excessiva de flúor durante a infância, quando os dentes ainda estão em formação. Embora o flúor seja amplamente utilizado na prevenção de cáries, o seu excesso pode

Radiografia Panorâmica: Entenda as vantagens
A radiografia panorâmica é um exame essencial para os profissionais de odontologia, oferecendo uma visão abrangente da saúde bucal dos pacientes. Este exame de imagem tem se tornado indispensável no diagnóstico e planejamento de diversos tratamentos odontológicos, como a colocação

Harmonização Orofacial: Equilíbrio Facial
A harmonização orofacial é um dos procedimentos estéticos mais procurados atualmente. Combinando técnicas avançadas, ela tem como objetivo equilibrar os traços faciais, proporcionando uma aparência mais harmônica e rejuvenescida. Neste artigo, você vai entender o que é harmonização orofacial, como

Bichectomia: Redução das Bochechas
Nos últimos anos, a bichectomia se tornou um dos procedimentos estéticos mais populares entre aqueles que buscam um contorno facial mais harmonioso e simétrico. A redução das bochechas pode transformar o rosto, trazendo mais definição à linha do maxilar e

Laserterapia em Tratamentos Dentários
A laserterapia tem se tornado uma das principais inovações na área da odontologia. Utilizando feixes de luz de alta intensidade, os lasers são capazes de promover diversos benefícios, como o alívio da dor, aceleração da cicatrização e maior precisão nos

Odontologia Digital: Inovação na Odontologia
Nos últimos anos, a odontologia digital tem ganhado cada vez mais destaque no campo da saúde bucal. Graças aos avanços tecnológicos, tratamentos odontológicos que antes eram complexos e demorados se tornaram mais rápidos, eficientes e precisos. A odontologia digital envolve